Создаём идеальные улыбки в Алматы
Профессиональное ортодонтическое лечение с индивидуальным подходом. Современные технологии и забота о каждом пациенте.

Наши услуги
Полный спектр ортодонтических услуг для детей и взрослых. Индивидуальный подход к каждому пациенту.
Брекет-системы
Классические и современные брекет-системы для эффективного выравнивания зубов.
- Лигатурные
- Самолигирующие
Элайнеры
Прозрачные каппы для незаметного исправления прикуса. Съёмные, комфортные и практически невидимые на зубах.
- Invisalign
- Отечественные системы
- 3D моделирование
- Прогнозируемый результат
Детская ортодонтия
Раннее ортодонтическое лечение для детей. Формируем правильный прикус с детства для здоровой улыбки на всю жизнь.
- MSE аппарат
- Марко Росса и Хайрекс
- Детские элайнеры
- Прогнозируемая профилактика
- Частичная брекет система
Исправление прикуса
Комплексное лечение различных видов неправильного прикуса. Восстанавливаем функцию и эстетику.
- Глубокий прикус
- Открытый прикус
- Перекрёстный прикус
- Мезиальный прикус
Ретейнеры
Закрепление результата лечения. Съёмные и несъёмные ретейнеры для сохранения идеальной улыбки.
- Несъёмные ретейнеры
- Съёмные каппы
- Контроль стабильности
- Долгосрочное наблюдение
Диагностика
Современная диагностика с использованием 3D-сканирования и цифровых технологий для точного планирования лечения.
- Комплексный план лечения
- Анализ КЛКТ
- Расчет моделей
- Фотопротокол
- Расчет ТРГ

Санжар Алимбетов
Врач-ортодонт
Помогаю пациентам обрести красивую и здоровую улыбку. Моя миссия - сделать ортодонтическое лечение комфортным и доступным для каждого, кто мечтает о ровных зубах.
Использую только проверенные методики и современное оборудование. Постоянно совершенствую свои навыки, посещая международные конференции и мастер-классы.
Образование и квалификация:
- Высшее медицинское образование
- Специализация по ортодонтии
- Международные сертификаты
- Постоянное повышение квалификации
Экспертность
Глубокие знания и практический опыт в ортодонтии
Качество
Современное оборудование и проверенные методики
Забота
Индивидуальный подход к каждому пациенту
Результаты наших пациентов
Реальные случаи из практики. Каждая улыбка - результат профессионального подхода и современных технологий.
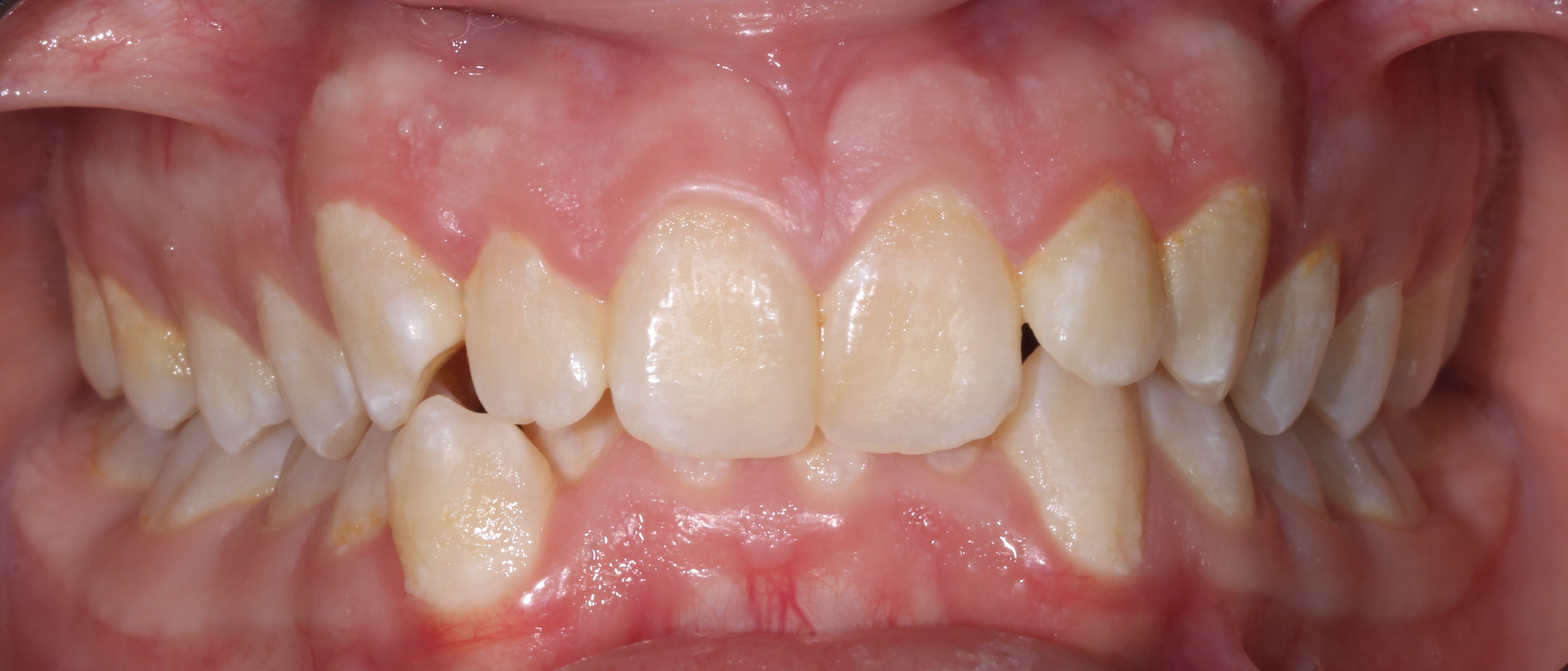
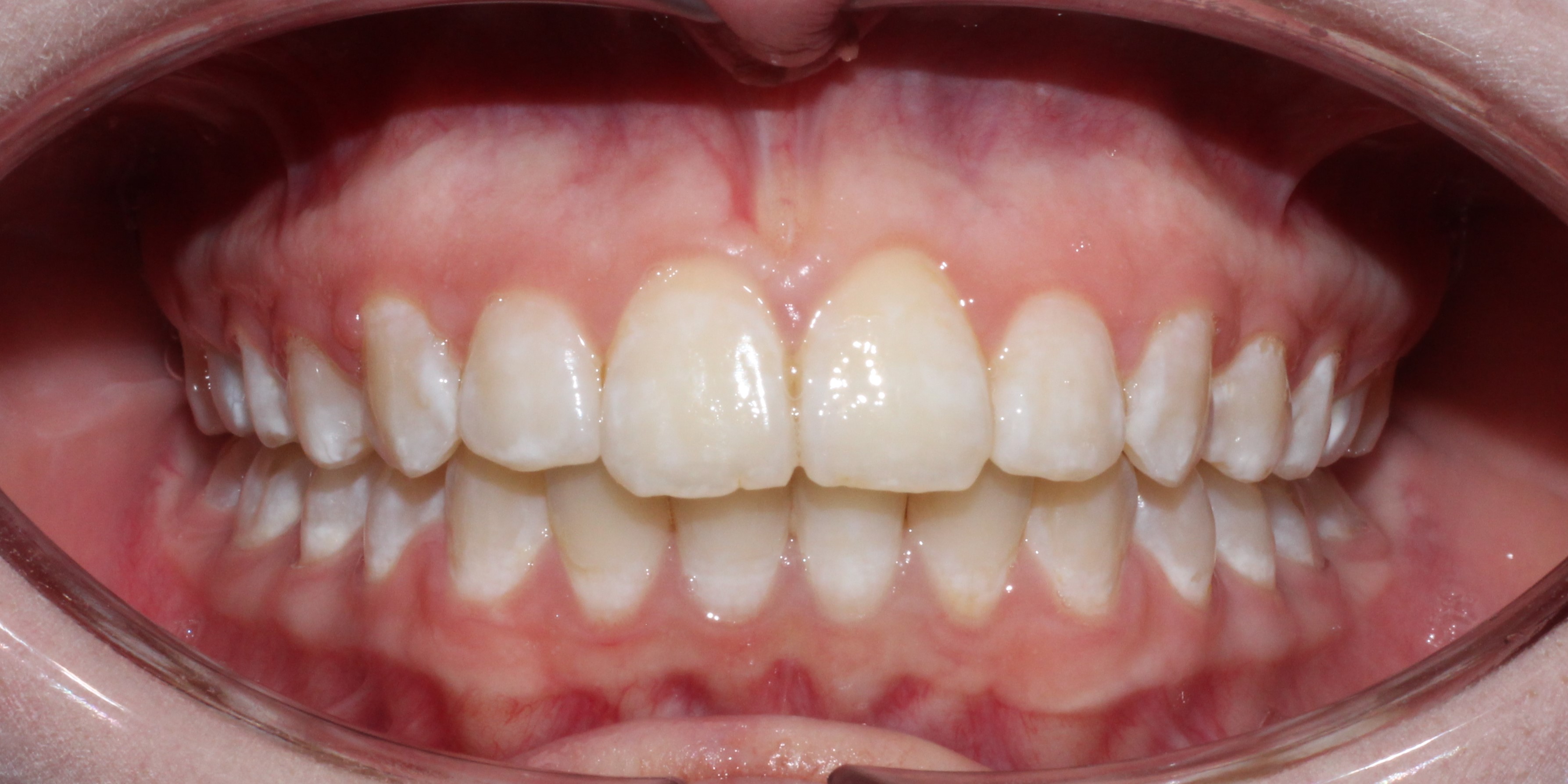
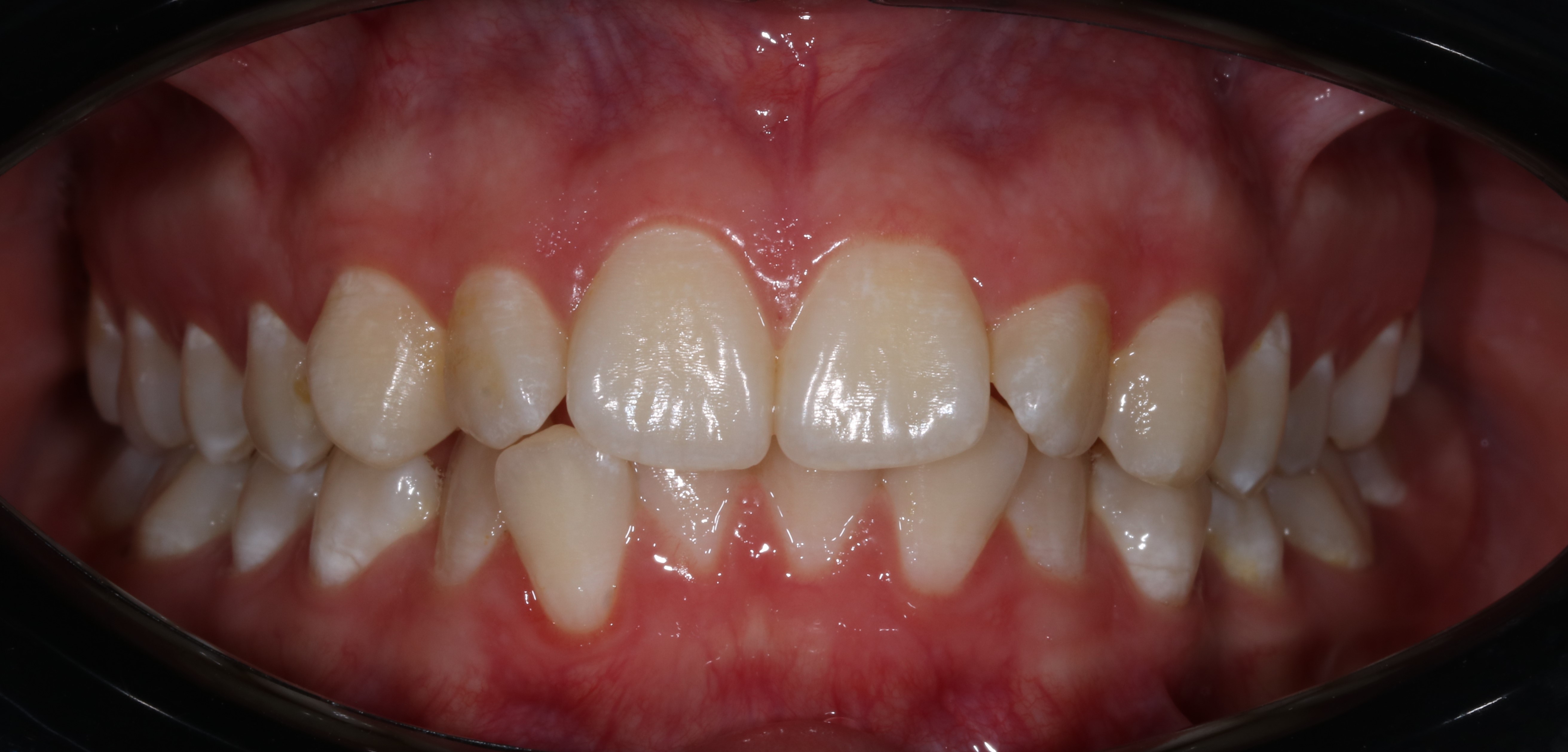
Дистопия зубов
Глубокий прикус
Скученность зубов
Открытый прикус, тремы
Смещение центральной линии
Ротация зубов
Как мы работаем
Понятный и прозрачный процесс лечения от первой консультации до идеальной улыбки
Консультация
Первичный осмотр, обсуждение жалоб и пожеланий. Определяем возможности лечения.
Диагностика
3D сканирование, рентген-снимки, анализ прикуса. Полная картина состояния зубов.
План лечения
Индивидуальный план с визуализацией результата. Обсуждение сроков и стоимости.
Лечение
Установка брекетов или элайнеров. Регулярные визиты для коррекции и контроля.
Ретенция
Установка ретейнеров для закрепления результата. Наблюдение и поддержка.
Отзывы пациентов
Истории успеха от наших пациентов. Каждый отзыв - это история преображения.
на основе 200+ отзывов
Хочу выразить искреннюю благодарность ортодонту Алимбетову Санжару и его ассистентке Арай за профессионализм, внимательное отношение и безупречную работу на протяжении всего периода лечения брекетами. Лечение прошло комфортно, и я очень довольна полученным результатом. Рекомендую всем, кто хочет красивую и здоровую улыбку!
Надира А.
Брекет-система
Уже 1,5 года хожу в эту клинику, у Санжара Кайратовича. Очень крутой врач, ортодонт! За 1 год получила нужный результат после ношения брекета. Всем рекомендую!
Жансая А.
Брекет-система
Хочу поблагодарить моего ортодонта Санжара Кайратовича за профессионализм и внимательное отношение. Всё объясняет понятно и спокойно, чувствуется уверенность и опыт. На приёмах всегда комфортно, аккуратно и без лишнего стресса. Очень рада, что выбрала именно этого специалиста!
Zhanel S.
Исправление прикуса
Хотим поблагодарить врача Санжара за его профессионализм. После тщательного обследования он предложил нам самый удобный, эффективный и безопасный способ решить проблему через элайнеры. Установка прошла четко, коррекция никакая не потребовалась, результат мы увидели сразу. Отличная работа. Все в срок. Мы очень довольны! Спасибо!
Regina K.
Элайнеры
Хочу выразить искреннюю благодарность врачу Санжару Кайратовичу за проделанную колоссальную работу! Совсем скоро снимаю брекеты - результат уже очевиден, и я безмерно довольна! От всей души рекомендую всем, кто ищет настоящего профессионала своего дела!
Балжан Ш.
Брекет-система
Ношу брекеты уже 4 месяца, ставила у Санжара Кайратовича. Очень грамотный специалист всё чётко по делу, каждый приём проходит спокойно и по плану. Видно, что он профессионал своего дела. Улыбка уже меняется, и я очень довольна!
Kamila S.
Брекет-система
Частые вопросы
Ответы на популярные вопросы об ортодонтическом лечении
Средняя продолжительность лечения составляет от 12 до 24 месяцев в зависимости от сложности случая. На первичной консультации после диагностики мы сможем дать точный прогноз для вашего случая.
В первые дни после установки брекетов может ощущаться дискомфорт и небольшая болезненность - это нормальная реакция. Обычно адаптация занимает 3-7 дней. Мы даём подробные рекомендации по уходу и при необходимости назначаем обезболивающие.
Оба метода эффективны, выбор зависит от клинической ситуации и ваших предпочтений. Элайнеры незаметны и съёмные, но подходят не для всех случаев. Брекеты более универсальны и часто быстрее справляются со сложными случаями. На консультации мы подберём оптимальный вариант.
Первый визит к ортодонту рекомендуется в 6-7 лет для оценки развития прикуса. Активное лечение обычно начинается в 11-14 лет, когда прорезались постоянные зубы. Взрослым лечение доступно в любом возрасте.
При лечении брекетами визиты назначаются каждые 4-6 недель для коррекции. С элайнерами интервал может быть больше - каждые 6-8 недель. Регулярные визиты важны для контроля процесса лечения.
Стоимость зависит от выбранной системы и сложности случая. На первичной консультации после осмотра мы составляем детальный план лечения с указанием полной стоимости. Возможна оплата в рассрочку.
Не всегда. Решение об удалении зубов принимается индивидуально после тщательной диагностики. Современные методы часто позволяют избежать удаления. Мы всегда стремимся сохранить зубы, если это возможно.
Ретейнер - это конструкция, которая удерживает зубы в новом положении после снятия брекетов. Без него зубы могут вернуться в исходное положение. Ретейнеры бывают съёмные (капы на ночь) и несъёмные (тонкая проволока на внутренней стороне зубов).
Запишитесь на консультацию
Оставьте заявку и выберите удобное время для визита











